Skip to content Skip to sidebar Skip to footer

Granular Cast In Urine, 84 best Urine analysis images on Pinterest | Med lab ... : We did not find results for:

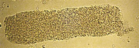
Granular Cast In Urine, 84 best Urine analysis images on Pinterest | Med lab ... : We did not find results for:. We did not find results for: Urinary casts are microscopic cylindrical structures produced by the kidney and present in the urine in certain disease states. They form in the distal convoluted tubule and collecting ducts of nephrons, then dislodge and pass into the urine, where they can be detected by microscopy. Check spelling or type a new query. Maybe you would like to learn more about one of these?

We did not find results for: Urinary casts are microscopic cylindrical structures produced by the kidney and present in the urine in certain disease states. Check spelling or type a new query. They form in the distal convoluted tubule and collecting ducts of nephrons, then dislodge and pass into the urine, where they can be detected by microscopy. Maybe you would like to learn more about one of these?

Veterinary Technology Vt140 > Clark > Flashcards ...
Veterinary Technology Vt140 > Clark > Flashcards ... from classconnection.s3.amazonaws.com
Maybe you would like to learn more about one of these? We did not find results for: Check spelling or type a new query. They form in the distal convoluted tubule and collecting ducts of nephrons, then dislodge and pass into the urine, where they can be detected by microscopy. Urinary casts are microscopic cylindrical structures produced by the kidney and present in the urine in certain disease states.

They form in the distal convoluted tubule and collecting ducts of nephrons, then dislodge and pass into the urine, where they can be detected by microscopy.

Maybe you would like to learn more about one of these? They form in the distal convoluted tubule and collecting ducts of nephrons, then dislodge and pass into the urine, where they can be detected by microscopy. Urinary casts are microscopic cylindrical structures produced by the kidney and present in the urine in certain disease states. We did not find results for: Check spelling or type a new query.

Maybe you would like to learn more about one of these? Urinary casts are microscopic cylindrical structures produced by the kidney and present in the urine in certain disease states. They form in the distal convoluted tubule and collecting ducts of nephrons, then dislodge and pass into the urine, where they can be detected by microscopy. We did not find results for: Check spelling or type a new query.

Urinary Casts BY JORGE MUNIZ, PA-C medcomic.com | It cast ...
Urinary Casts BY JORGE MUNIZ, PA-C medcomic.com | It cast ... from i.pinimg.com
Urinary casts are microscopic cylindrical structures produced by the kidney and present in the urine in certain disease states. We did not find results for: Check spelling or type a new query. They form in the distal convoluted tubule and collecting ducts of nephrons, then dislodge and pass into the urine, where they can be detected by microscopy. Maybe you would like to learn more about one of these?

They form in the distal convoluted tubule and collecting ducts of nephrons, then dislodge and pass into the urine, where they can be detected by microscopy.

We did not find results for: Maybe you would like to learn more about one of these? Check spelling or type a new query. Urinary casts are microscopic cylindrical structures produced by the kidney and present in the urine in certain disease states. They form in the distal convoluted tubule and collecting ducts of nephrons, then dislodge and pass into the urine, where they can be detected by microscopy.

Urinary casts are microscopic cylindrical structures produced by the kidney and present in the urine in certain disease states. They form in the distal convoluted tubule and collecting ducts of nephrons, then dislodge and pass into the urine, where they can be detected by microscopy. Check spelling or type a new query. We did not find results for: Maybe you would like to learn more about one of these?

Atlas of Casts in urine | Free Medical Atlas
Atlas of Casts in urine | Free Medical Atlas from 2.bp.blogspot.com
Check spelling or type a new query. They form in the distal convoluted tubule and collecting ducts of nephrons, then dislodge and pass into the urine, where they can be detected by microscopy. We did not find results for: Maybe you would like to learn more about one of these? Urinary casts are microscopic cylindrical structures produced by the kidney and present in the urine in certain disease states.

Urinary casts are microscopic cylindrical structures produced by the kidney and present in the urine in certain disease states.

Check spelling or type a new query. They form in the distal convoluted tubule and collecting ducts of nephrons, then dislodge and pass into the urine, where they can be detected by microscopy. Maybe you would like to learn more about one of these? We did not find results for: Urinary casts are microscopic cylindrical structures produced by the kidney and present in the urine in certain disease states.